?近日,有數名馬凡綜合征患者來我院就診并接受住院治療。很多人對馬凡綜合征很陌生,下面簡單介紹一下:馬凡氏綜合征(marfan’s?syndrome)又名蜘蛛指(趾)綜合征,屬于一種先天性遺傳性結締組織疾病,為常染色體顯性遺傳,有家族史。主要表現為骨骼、眼和心血管系統受累。心血管方面表現為大動脈中層彈力纖維發育不全,主動脈或腹總主動脈擴張,形成主動脈瘤或腹總主動脈瘤。主動脈擴張到一定程度以后,將造成主動脈大破裂死亡。發病率約0.04‰~0.1‰。而在眼方面主要表現主要有晶體狀脫位或半脫位、高度近視、白內障、視網膜剝離、虹膜震顫等。男性多于女性。???
?患者高某,左眼視力下降四十余年,右眼視力下降半年余。???
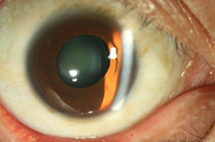
?眼部查體:雙眼晶體混濁,左眼晶體脫位。???
?輔助檢查:角膜曲率:雙眼角膜曲率K值約38D,反映角膜扁平。??
眼軸:右眼30.23mm,左眼23.56mm。右眼眼軸為高度近視眼軸。??
B超提示:玻璃體混濁(雙眼)?高度近視、后鞏膜葡萄腫(右眼)?視網膜脫離(左眼)。??
UBM提示:右眼晶體向顳上偏移,左眼因晶體脫位明顯所以沒有做UBM檢查。??
結合其他系統檢查結果,該患者可以確診為馬凡綜合征。??
因為左眼未能及時診治,所以已經錯過了手術的最好時機。馬凡綜合征患者并不多見,眼部的病變往往容易被忽略,所以一定要及時就醫檢查。臨床工作中應高度重視無誘因晶狀體脫位患者的全身癥狀,并對馬凡綜合征患者關注其眼部表現,根據不同體征采取不同術式,盡早治療。


裂隙燈照相顯示晶體脫位

B超提示高度近視,后鞏膜葡萄腫

B超顯示全網脫
??????????????????????????????????????????????????????????????????????????????????????????????????????????????????????????????????????????????? 山東省眼科醫院特診室??? 王姝婷
??????????????????????????????????????????????????????????????????????????????????????????????????????????????????????????????????????????????????????????? ?2012.2.19
地址:山東省濟南市經四路372號
郵編:250021
電話:0531-81276111
咨詢電話:0531-81276000
公眾號
小程序