|
小切口重瞼術是韓式雙眼皮的一個常用手術方式,是通過2~4個3mm左右的小切口形成重瞼,兼有埋線法和常規切開法重瞼手術方式的優點,手術的同時可以去除部分眶脂肪以消除“腫眼泡”,且創傷小,術后恢復快、疤痕小、效果持久,適用于無明顯眼瞼松弛、眶脂肪不是非常嚴重的單瞼人士。
?
病例1:術前一側眼睛重瞼,另一側單瞼,雙眼不對稱,俗稱“鴛鴦眼”,嚴重影響美觀。行小切口重瞼術后一周拆除縫線,眼瞼腫脹基本消失,一月后完全恢復自然,而且半年后手術疤痕幾乎消失,看不出手術的痕跡,基本達到自然重瞼的效果。
 
 
?
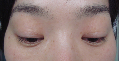
病例2:術前雙眼單瞼無神,術后一周拆除縫線,眼瞼腫脹基本消失,雙眼重瞼弧度自然且完全對稱。
 
|