單純皰疹病毒性角膜炎(herpes simple keratitis,HSK)是由單純皰疹病毒引起的一種嚴重的感染性角膜疾病。人類是HSV-1的唯一天然宿主,主要通過密切接觸傳染。正常成人HSV血清陽性率為90%。人群發病率中男性為64.5%,女性為35.5%,在6個月~5歲的兒童感染中約60%由潛伏感染,幾乎100%三叉神經節內有HSV潛伏。
一:發病機制:單純皰疹病毒分為HSV-1和HSV-2型,大多數眼部感染都是由HSV-1型引起,HSV-2型偶爾有可引起眼部感染。其病理損害機制,一方面是由于單皰病毒對角膜細胞的直接損害,另一方面是感染病毒作為外來抗原,引起機體自身的免疫反應,導致細胞免疫對自身角膜組織的損害。多數臨床上發生HSV-1原發性角膜感染僅局限于上皮病變,但HSV-1能沿三叉神經末梢的軸漿流逆行到三叉神經節形成潛伏感染,原發性角膜上皮損害常很快消退,使角膜基質和內皮細胞免受損害。復發性干擾,HSV-1首先感染角膜上皮細胞,形成上皮型損害,隨著病變的不斷惡化,角膜基質受到累及,形成臨床上更為常見的遷延性深基質型角膜病損。而內皮型病變通常是由于HSV-1直接侵犯角膜內皮引起的。
二:臨床表現:
1.原發感染: 常見于幼兒,可同時存在唇部和頭面部的皮膚感染,有全身發熱和耳前淋巴結腫痛,眼部表現為急性濾泡性結膜炎,膜性結膜炎等,約2/3患者出現輕中度上皮型角膜炎。
2. 復發感染: 根據累及深度將其分為上皮型(點狀,樹枝狀,地圖狀),基質型(淺中基質型,深基質型(基質壞死型或盤狀角膜炎)),內皮型。根據病程變化將其分為活動期,穩定期,晚變期。
1)上皮型:早期患者可有輕度異物感,畏光,流淚等眼部刺激癥狀或無明顯癥狀。常表現為點狀角膜炎,角膜上皮出現渾濁斑點,上皮感染缺損,病變進展,形成地圖狀或不規則狀角膜炎。角膜基質輕度水腫,病變區角膜知覺減退,常伴有睫狀充血。大多數上皮型通常在三周左右自行消退,多不遺留瘢痕。但反復發作或久治不愈,病變可向周圍及基質層發展。
2)基質型:淺中基質型常原發或繼發于上皮型,累及角膜淺中基質,炎癥控制后常留下角膜云翳或斑翳。反復發作常有新生血管長入。基質壞死型,病變呈黃白色浸潤,壞死灶周圍大量深層新生血管長入,常導致角膜瘢痕,角膜變薄或穿孔。盤狀角膜炎表現為角膜基質的盤狀水腫,但基質內炎癥細胞浸潤少,而在炎癥區域的內皮細胞上常有KP和虹膜的炎癥反應,反復發作可造成角膜內皮細胞功能失代償。
3)內皮型:是一種比較嚴重和少見的HSK,多數患者有明顯的睫狀充血,角膜水腫增厚,后彈力層皺褶,可見到KP和房水閃光,常伴輕度虹膜睫狀體炎。還有的伴有眼壓升高,反復發作引起角膜內皮細胞功能受損,出現大泡性角膜病變。
三.診斷:
1.反復發作病史
2.典型臨床表現(上皮樹枝狀,地圖狀浸潤;角膜盤狀水腫;角膜潰瘍伴周圍大量新生血管長入;角膜水腫伴內皮面KP)
3. 輔助檢查:角膜刮片檢查排除真菌,細菌和棘阿米巴感染;共焦顯微鏡檢查可見免疫細胞,未查及菌絲及棘阿米巴包囊。
四.鑒別診斷:
1.棘阿米巴性角膜炎:多有角膜接觸鏡,與污水接觸,養家禽及寵物史,或者角膜異物及角膜外傷史。病程相對緩慢,可達數周或數月,臨床表現與HSK相似,可有上皮假樹枝狀浸潤,角膜中央盤狀病變,但多伴有角膜放射狀神經痛。角膜刮片及培養,共焦顯微鏡檢查,活體組織病理檢查查及棘阿米巴包囊。
2.真菌性角膜潰瘍:多有植物外傷史,角膜病灶干燥,可見菌絲苔被,偽足,衛星灶等。角膜刮片及培養,共焦顯微鏡檢查可確診。
3.細菌性角膜潰瘍:起病急驟,常有角膜創傷或接觸鏡佩戴史,角膜病灶較多壞死組織,角膜刮片革蘭染色可查及細菌感染。
五.治療:
由于HSV在三叉神經節及角膜內終生潛伏,所以不可能完全根治,臨床藥物治療的目的主要是控制病情發展和緩解癥狀。在穩定期,任何有刺激性的化學藥物都可能導致HSV在角膜中的重新活化或從三叉神經節再釋放引起HSV復發。反之,在活動期,應當使用有效的抗HSV-1藥物,并適當的輔助應用皮質類固醇藥物,減輕臨床癥狀和組織自身的損害。
1.上皮型治療原則是早期應用有效的抗病毒眼水頻繁點眼,每30min一次。禁用糖皮質激素,以防病變擴散。
2.基質型及內皮型治療原則是在全身和局部抗病毒治療的同時,適當應用糖皮質激素。
3.常用的抗病毒藥物:
1)阿昔洛韋:又稱無環鳥苷,是目前治療HSK的首選藥物,對于淺深層HSK均有較好療效,常用的為0.1%阿昔洛韋眼水和0.3阿昔洛韋眼膏,全身注射用阿昔洛韋。是一種抗病毒作用較強,而毒性作用又小的抗病毒藥物。
2)更昔洛韋:又稱丙氧鳥苷,抗單純皰疹病毒作用比阿昔洛韋作用強。全身用藥主要副作用是骨髓抑制,特別是中性粒細胞減少。
3)三氮唑核苷(病毒唑),利巴韋林,環胞苷,碘苷等。
4.手術治療:對角膜中淺層斑翳,可選擇部分板層角膜移植術,但術后HSK還會復發。對基質壞死型可采用羊膜移植聯合抗病毒和糖皮質激素藥物治療。對于反復發作不愈,角膜潰瘍瀕于穿孔或后遺角膜白斑的,穿透性角膜移植是唯一治療手段,術后能明顯減少復發次數。
?

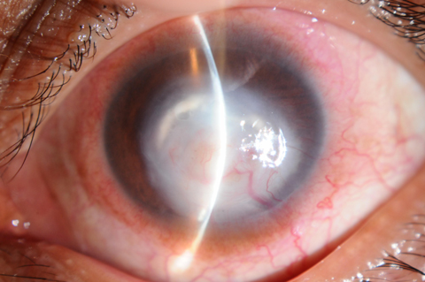
單純皰疹病毒性角膜炎(基質型)患者,因角膜混濁失明
?
山東省眼科醫院角膜病科? 王秀先 供稿
2012年4月25日
?