您好,歡迎訪問山東第一醫科大學附屬眼科醫院!

角結膜鱗狀上皮細胞癌一例

發布時間:2012/06/30 23:04

角結膜鱗狀上皮細胞癌多見于50-70歲的老年人,男多于女,好發于瞼裂部角膜緣部位,以顳側最多見,初為灰白色結節,向角膜內伸展變為胬肉樣或乳頭狀腫物,由于腫瘤基底部寬,富于血管,故呈紅色。腫瘤可向表面擴展,將角膜及鞏膜全部遮蓋。角結膜鱗狀上皮細胞癌多數惡性程度低,在相當長時間內局限于上皮層,形成一個突起的腫塊,或向水平面發展,而不迅速侵犯角膜基質層。
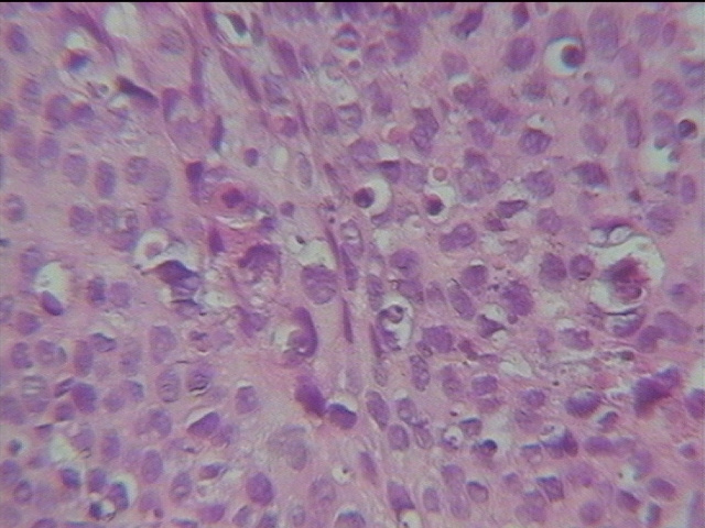
組織學上,大多數結膜鱗狀細胞癌其細胞分化良好,表面常有角化。癌細胞呈巢狀或團塊狀浸潤性生長,有的角化細胞向心性聚集形成角化珠。低分化的鱗狀細胞癌常傾向于小巢狀或條索狀。而未分化的鱗狀細胞癌其癌細胞往往無一定排列方式。診斷鱗狀細胞癌重要的是肯定有細胞間橋及角化。
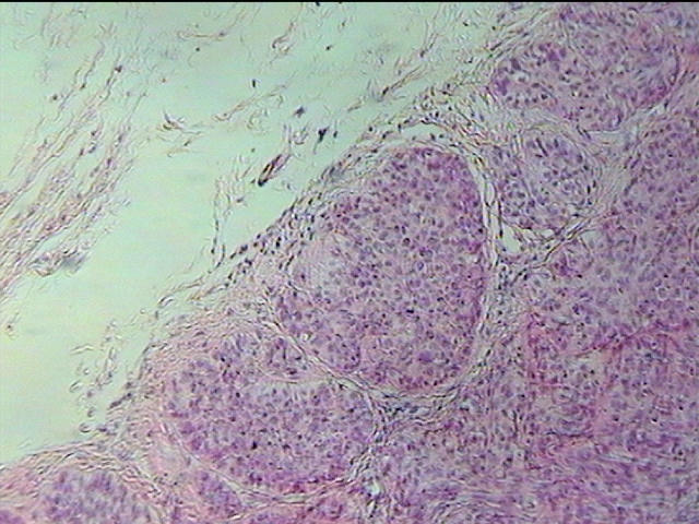
HE×100? 角結膜鱗狀細胞癌
癌細胞呈巢團狀分部
HE×400? 角結膜鱗狀細胞癌
(檢驗科? 供稿 2012.6)


地址:山東省濟南市經四路372號

郵編:250021

電話:0531-81276111

咨詢電話:0531-81276000

公眾號

小程序

版權所有 2008-2022 山東省眼科醫院 信息部 魯ICP備14000770號 魯公網安備37010402000539號 濟醫廣審字[2022]第0627-152號
国产又粗又猛又爽又黄的视频