您好,歡迎訪問山東第一醫科大學附屬眼科醫院!

絲狀角膜炎

發布時間:2012/07/31 19:07

絲狀角膜炎,又稱絲狀角膜病變,是在角膜表面出現的由變性的角膜上皮卷成的絲狀物,一端附著在角膜表面,另一端游離,似樹根與角膜上皮相連,可被推動。
絲狀角膜炎的病因尚不清楚,目前認為,其形成原因可能與下列因素有關:
1.上皮細胞的異常增殖。
2.基底膜與前彈力膜接合異常,部分角膜卷成一上皮卷狀,而松脫的上皮部分很快被新的上皮修復。
3.類黏液形成過多。多見于干眼病和病毒感染(腺病毒、HSV)等。也可見于神經麻痹性角膜炎,瘢痕性角膜結膜炎(沙眼,天皰瘡等)。
4. 用眼時間過久或內眼手術后包扎或閉眼時間過久(如角膜移植術后和網膜剝離術后)也可引起該病變。
本病的臨床癥狀通常較嚴重,治療較困難,且易復發。患者自覺癥狀常有眼磨、異物感、畏光、流淚等。瞬目時上述癥狀加重,而閉眼時癥狀則可以減輕。絲狀物的長度從0.5mm到數毫米不等,可被孟加拉紅染成紅色。絲狀物與角膜的黏附通常較牢固,附著處角膜下方可出現小的灰白色上皮下混濁。由于瞬目動作,絲狀物可能會彎曲折疊,用力閉眼動作可能使絲狀物從角膜表面脫落而殘留角膜上皮缺損區,此缺損區又可重新形成新的絲狀物,絲狀物還可在不同位置反復出現。
診斷本病并不困難,可通過病史及臨床檢查明確診斷:1.絲狀角膜炎患者患眼常感異物感或摩擦感;2.裂隙燈檢查下可見角膜表面有上皮卷絲,一端固定,另一端游離,孟加拉紅染色呈紅色;3.常合并有角膜點狀上皮糜爛或表層點狀角膜炎。
絲狀物是臨床常見的角膜病變,需及時發現及時治療,常規治療原則有:
1.查找病因,并針對病因治療。患者若有接觸鏡戴用過長、用藥不當,包眼時間過長等,應該及時矯正。
2.癥狀輕者可用局部潤滑劑和抗生素眼膏涂眼。粘液溶解劑如10%半胱氨酸可減低絲狀物黏性,有利于卷絲的去除。局部使用高滲劑對本病也有治療作用。常用5%氯化鈉溶液每天點眼3~4次,晚上涂用眼膏。另外,0.5%環孢素滴眼液也對減輕癥狀有較好的作用。
3.當因絲狀物引起的異物感明顯時,可在表面麻醉后,機械拭去角膜絲狀物,然后在結膜囊涂抗生素眼膏,包眼12-24h。角膜上皮剝脫后,可配戴軟性角膜接觸鏡,以減輕癥狀,同時適當應用上述滴眼液及眼膏,可防止繼發感染發生。并減少復發。
專家提醒大家:絲狀角膜病變的角膜卷絲輕者在數天內可自行消失,重者應到醫院及時處理,切不可自行刮除或擦掉,以免造成上皮缺損并發角膜感染等嚴重后果。
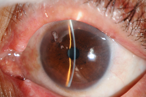
圖示角膜表面少量大小不等的絲狀物,一端附著于角膜上皮,另一端游離
山東省眼科醫院角膜病科 隋文婕
?


地址:山東省濟南市經四路372號

郵編:250021

電話:0531-81276111

咨詢電話:0531-81276000

公眾號

小程序

版權所有 2008-2022 山東省眼科醫院 信息部 魯ICP備14000770號 魯公網安備37010402000539號 濟醫廣審字[2022]第0627-152號
国产又粗又猛又爽又黄的视频