您好,歡迎訪問山東第一醫科大學附屬眼科醫院!

神經麻痹性角膜炎

發布時間:2012/11/30 17:37

神經麻痹性角膜炎又稱神經營養性角膜病變(neurotrophickeratopathy)是由支配角膜的三叉神經眼支受到損害,所引起的角膜營養障礙和炎癥性改變。
常見的原因包括外傷、手術,如三叉神經瘤行三叉神經樞的切除,某些藥物注射破壞神經等,腫瘤,如三叉神經周圍的腦膜瘤、神經纖維瘤,炎癥和病毒感染,常見單純皰疹病毒和帶狀皰疹病毒感染造成三叉神經節的功能損害,致三叉神經麻痹。最近的研究還發現因眼瞼的功能障礙導致淚膜的質發生很大變化,表現為脂質層增加,而使瞬目減少,導致持續性角膜上皮缺損。
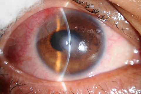
臨床表現神經知覺障礙1-2天后,常在角膜中央或偏下方出現點狀上皮缺損,角膜知覺可減退或完全喪失。8-12天后,角膜上皮剝脫面積擴大,常發生在因眼瞼閉合不全的眼瞼部角膜,持續性角膜無菌性潰瘍,常伴虹膜睫狀體炎癥狀,嚴重者發生角膜融解,繼發感染或穿孔。
診斷詳細詢問病史很重要,及行面部及角膜的知覺檢查。
治療積極治療導致三叉神經損害的原發疾病。早期采用人工淚液、角膜潤滑劑等保護角膜上皮,用抗生素眼藥水及眼膏預防感染,全身給予維生素A和B族輔助治療等。如以上治療效果未能奏效,行永久性瞼裂縫合術是唯一選擇,待原發病治愈角膜知覺恢復后,再切開縫合的瞼裂。
山東省眼科醫院角膜病科賈艷妮


地址:山東省濟南市經四路372號

郵編:250021

電話:0531-81276111

咨詢電話:0531-81276000

公眾號

小程序

版權所有 2008-2022 山東省眼科醫院 信息部 魯ICP備14000770號 魯公網安備37010402000539號 濟醫廣審字[2022]第0627-152號
国产又粗又猛又爽又黄的视频