您好,歡迎訪問山東第一醫科大學附屬眼科醫院!

結膜乳頭狀瘤

發布時間:2012/12/28 21:41

結膜常見的良性腫瘤,多見于成人,也可見于兒童。從病因學,組織學和臨床表現三方面把結膜乳頭狀瘤分為無蒂和有蒂兩種形式。按生長部位分結膜型和角膜緣型。常發生于角膜緣、淚阜及瞼緣部位腫瘤.是結膜上皮組織呈乳頭狀增生。常見為鱗狀細胞乳頭狀瘤。病理學檢查病變由多個小葉組成,呈指狀突起,黏膜無角化,增生的鱗狀上皮覆蓋血管纖維結締組織,內有炎細胞浸潤。
乳頭狀瘤病毒(HPV)6和11Ⅱ型引起眼瞼皮膚尋常疣的改變。而HPV16和18引起無蒂型乳頭狀瘤,易誘發癌變。
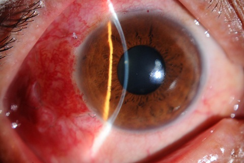
臨床表現:有蒂的乳頭狀瘤為肉紅色,有一血管為核心的分生長的腫瘤,常見在下穹窿以內背部多見。腫瘤表面光滑,有上皮色囊,呈雞冠花樣,為多發性,在下穹窿部大小不等,多個并存。也可見在內眥部球結膜有一個孤立的雞冠花樣腫瘤,活動度好,常有一蒂。無蒂型乳頭狀瘤更常見于角鞏膜緣,較扁平,為表面有光澤的大量紅點狀聚集的桑葚狀。隨病情想角膜內生長,一般生長較快,可發生鱗狀細胞癌的變化。
治療:有蒂的乳頭狀瘤,切除要徹底。包括單個瘤的清除和在顯微鏡能發現的很小的小瘤,并要聯合冷凍治療。無蒂的乳頭狀瘤切除時,同樣要求清除瘤的基底部和聯合冷凍治療。無蒂的乳頭狀瘤相對獨立的發生較多,故手術時一般不會遺漏未切的腫瘤。
?
???????????????????????????????術前
??????????? 行腫物切除+冷凍+自體干細胞移植術后
山東省眼科醫院角膜病科 王玉亭
?


地址:山東省濟南市經四路372號

郵編:250021

電話:0531-81276111

咨詢電話:0531-81276000

公眾號

小程序

版權所有 2008-2022 山東省眼科醫院 信息部 魯ICP備14000770號 魯公網安備37010402000539號 濟醫廣審字[2022]第0627-152號
国产又粗又猛又爽又黄的视频