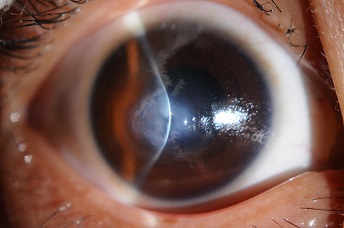
2013年12月底史偉云教授的特需門診迎來了一位來自云南省的特殊患者,患者小趙年僅15歲,一個月前查體時還顯示視力正常,幾天前晨起時突然發現右眼視力下降、黑眼球發白,當地多家醫院無法確診。并建議來我院就診,經史偉云教授的詳細檢查并根據多年來的豐富臨床經驗,診斷該患者右眼為“圓錐角膜急性水腫期”。患者右眼灰白色水腫,中央明顯前突,變薄(圖a),隨時有穿孔的風險,為保存患者眼球,史偉云教授先后兩次為小趙施行了角膜熱成形術(圖b)。待角膜水腫明顯消退后,為改善視力又為小趙施行了部分板層角膜移植術,術后小趙的愈合良好,視力恢復到0.2(圖c),一家人高興的帶藥出院,現已在校恢復正常學業。
圓錐角膜是以角膜擴張、中央變薄向前突出,呈圓錐形為特征的一種眼病(圖d);它常造成高度不規則近視散光。部分患者形成角膜急性水腫、形成瘢痕,視力顯著下降。 多于青春期發病,緩慢發展,像小趙這樣突然急性發作的病例比較少見,如發現自己出現上述癥狀出現需立即去醫院就診,根據病情行相應的治療。

a

b

c

?d