眼部堿燒傷是一種危害嚴重的致盲性疾病,在臨床上比較常見。輕者可致眼表上皮持續性缺損、瞼球粘連、新生血管形成,重者可致局部組織壞死溶解,甚至眼球穿破、眼球萎縮,造成視功能或眼球的喪失。我院采用新鮮羊膜移植治療急性期眼部堿燒傷,取得了較好的治療效果。??
??? 羊膜是人胎盤胎膜的最里層,由一層很厚的基底膜和無血管的基質組成。正常羊膜薄而透明,無血管,厚度約為0.02mm-O.05mm。羊膜移植不同于以往的黏膜移植及傳統的角膜移植術,有以下優點:(1)移植后的羊膜作為眼表組織的“支架”,為缺損區眼表提供健康的基底膜,有效地支持、促進上皮細胞分化和增生。(2)抑制成纖維細胞的增生和分化為纖維細胞,從而減少瘢痕形成。(3)羊膜中含有不同形式的蛋白酶抑制因子,能抑制角膜新生血管形成。(4)羊膜基質通過抗蛋白酶活性還能清除炎癥細胞,促使炎癥細胞迅速凋亡,減輕眼表炎癥反應。?
??? 我院采用新鮮的羊膜移植治療急性期眼部堿燒傷患者,由于新鮮羊膜帶有完整的上皮層,且其中有利于創面修復的活性成分的含量及活性均較高,因此應用時不僅能有效地促進創面修復,減少膠原組織的暴露,阻止膠原的溶解,還可以有效防止瞼球粘連,減輕炎癥反應,減少新生血管形成。對于眼部燒傷嚴重角膜尚未穿孔的病人,羊膜移植還可以作為先期手術,為以后的復明手術如角膜移植手術創造更加有力的條件。

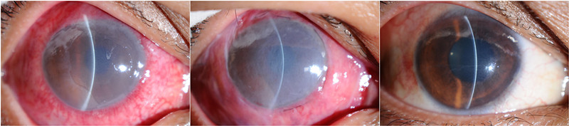
圖片從左至右分別為急性堿燒傷1h,羊膜移植術后,羊膜拆除術后。
地址:山東省濟南市經四路372號
郵編:250021
電話:0531-81276111
咨詢電話:0531-81276000
公眾號
小程序