70歲的周大爺在家看電視時,突然發現左眼一片黑,不痛不癢的,就是怎么也恢復不過來。無奈之下,他只好在兒女的陪同下來到醫院檢查,這才發現是患了視網膜中央動脈阻塞,要是再晚一點來醫院,左眼就可能永久性失明,“我就不明白,為什么眼前會突然一黑,還差點瞎掉了?”
殊不知,這樣的情況,患者差點錯過了最佳的救治時間。
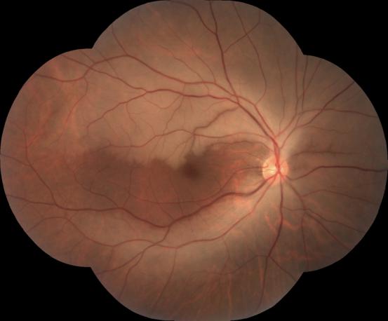
檢查眼底發現視網膜4支動脈阻塞,視網膜大面積灰白色水腫,診斷為“視網膜中央動脈阻塞(retinal?artery?occlusion,RAO)”,此后按急救流程做了搶救。這究竟是什么病?請聽眼科專家的解說。
視網膜動脈阻塞(RAO)為眼科臨床常見急診,發病急,視功能損害嚴重,預后較差。因其發病急驟,故及時搶救是恢復視力的關鍵,在很大程度上挽救了患者視力,或許能恢復部分有用視力,否則視功能永遠喪失。

1、什么是視網膜動脈阻塞?
單眼、無痛性、視力急劇喪失,發病前可有一過性黑矇病史。少數患者有單眼一過性黑矇的先兆癥狀,數分鐘后可恢復正常,這種癥狀可能多次的反復發作,致使最終視力不能恢復,大多數患者幾秒內視力突然急劇下降至眼前手動或僅存光感,嚴重者視力下降至無光感。
2、視網膜動脈阻塞的分類
通常將RAO根據阻塞部位不同分為:視網膜中央動脈阻塞、視網膜分支動脈阻塞、睫網動脈阻塞。還可以根據阻塞程度不同將RAO分為完全阻塞和不完全阻塞。
3、一旦遇RAO,如何自救?
應立即用手指按摩眼球,重復按摩至少10分鐘,加壓按摩10秒,松開手指5秒,如此反復10次左右,以此降低眼壓增加視網膜血管的灌注,同時要放松心情,不要過于緊張,然后尋找最近眼科急診就治。及時明確診斷并給予合理、及時的治療是搶救視力能否成功的關鍵。
4、RAO對視力的影響?
視網膜光感受器組織發生不可逆的損害多在視網膜缺血缺氧大于90?min后發生,如果視網膜中央動脈阻塞達到2小時以上,即使恢復了血供,視力也遭受嚴重破壞,很難恢復,一般認為超過6小時視力恢復的可能性極小。
5、眼部的表現
瞳孔表現為RAPD(+),眼底表現為后極部視網膜動脈變細及視網膜灰白色水腫。黃斑中心凹呈櫻桃紅斑。
7、什么人會發生RAO?
任何年齡的人都有發生RAO的可能性,這是因為RAO主要是栓子堵塞了視網膜的動脈,在損害程度上它相當于“心肌梗塞”,而栓子多種多樣。常見的栓子有:如膽固醇栓子、血小板纖維蛋白栓子、鈣化栓子、腫瘤栓子、脂肪栓子、膿毒栓子、藥物栓子等。瓣膜栓子,常見于亞急性心內膜炎,動脈粥樣硬化斑塊。組織栓子:脫落的腫瘤細胞。有時發病與內源毒素(如流感、瘧疾)、外源毒素(如奎寧或鉛中毒)、球后麻醉、面頜部注射藥物以及俯臥位全麻手術,使眼球長時間受壓等有關。
8、它與高血壓病、動脈硬化、高血脂等有關系嗎?如何預防?
在病理機制上它主要是血管壁的改變:動脈硬化或者粥樣硬化,或者炎癥,使血管內皮細胞受損、增生、內壁變粗糙、管腔變窄,易于形成血栓。在老年人多有心血管病,或伴有血管硬化、高血脂、高血粘度、高血糖等容易發生RVO。
9、一只眼已經發生了,另一只眼會發生嗎,發病前有什么征兆?
此病一般是單眼發病,極少有雙眼同時發病,發病前往往曾有過一次或多次的一過性黑矇,休息后或數分鐘后自行緩解,這可能是視網膜動脈血管的一過性痙攣,就一定要高度重視,應當去醫院血沉、C反應蛋白和血小板,以排除巨細胞性動脈炎,測量血壓、空腹血糖、糖化血紅蛋白、全血細胞計數加分類、凝血酶原時間/激活的部分促凝血酶原激酶時間(PT/PTT’)。小于50歲、或有致病因素或全身有陽性體征的患者,查血脂譜、抗核抗體(ANA)、類風濕因子(RF)、螺旋體抗體吸附熒光測定(FTA-ABS)、血清蛋白電泳、血紅蛋白電泳、抗磷脂抗體。行頸動脈的彩超檢查、必要時行DSA檢查。
10、救治流程
發病時必須盡快解除血管痙攣,或將栓子推移到遠端較小分支內,以縮小視網膜受累的范圍,盡可能及早搶救以挽回部分視力。各專科中心均有具體流程方案。
地址:山東省濟南市經四路372號
郵編:250021
電話:0531-81276111
咨詢電話:0531-81276000
公眾號
小程序