壯壯是名大學生,因為左眼黑睛發白伴視力不見3天來我院就診,診斷為“左眼圓錐角膜急性水腫期”,來院時左眼視力只有眼前指數(圖一),我院史偉云院長通過“左眼部分板層角膜移植術”使患者術后視力達到0.4。
本該是完美的結局,結果卻波折不斷。壯壯出院后心情大好,到處旅行游玩,不尊醫囑私自停用眼藥水1個多月,直到再次出現眼紅、視物不清才來我院復查,門診檢查后發現角膜植片發生了免疫排斥反應(圖三),幸虧及時給予了抗排斥治療后視力才恢復如前。
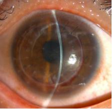
本以為經過這次經驗教訓壯壯同學會更加愛護自己的眼睛,結果今天他又紅腫著半邊臉來了我科門診,說是前幾天騎摩托車摔傷后左眼又看不清東西了,裂隙燈一查不由得唏噓一驚,16根角膜縫線松了14根,角膜層間還有大片積血伴周邊大量新生血管長入(圖四)。史院長又給予拆除松線,手術沖洗層間積血。(圖五)
史偉云院長指出:圓錐角膜是一種角膜中央或旁中央進行性變薄膨出,最終導致高度散光或角膜瘢痕的疾病。該病主要發生在青少年,所以其對患者的危害和影響是終生的。板層角膜移植術術后具有良好的視覺質量及較高的安全性是目前治療圓錐角膜的有效手段。對于行角膜移植的患者,為保持一個長期良好的視覺效果,建議患者一定要遵醫囑按時用藥,定期復查,建議配戴護目鏡,防止眼外傷,如有眼部不適,及時就診對癥處理。

圖一:圓錐角膜急性水腫?

圖二:角膜移植術后3月

圖三:角膜植片免疫排斥

圖四:角膜層間積血

圖五:層間沖洗后
地址:山東省濟南市經四路372號
郵編:250021
電話:0531-81276111
咨詢電話:0531-81276000
公眾號
小程序