您好,歡迎訪問山東第一醫科大學附屬眼科醫院!

準分子激光治療伴有屈光度的顆粒狀角膜營養不良

發布時間:2013/09/04 22:54

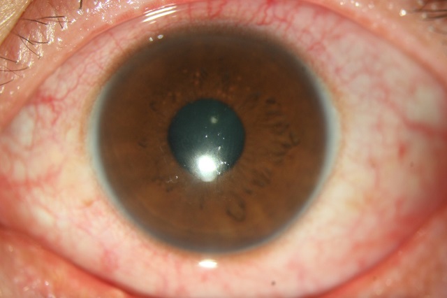
顆粒狀角膜營養不良(圖1),是角膜基質營養不良之一,屬常染色體顯形遺傳。主要臨床表現為:角膜基質內有分散的局灶性白色顆粒狀沉積物,起病初時沉積于基質淺層,隨著病程延長,逐漸沉著于深層基質,界限清楚,其間隔有透明區。早期可引起反復角膜上皮糜爛而使得患者畏光,影響生活質量,隨著病變的發展,角膜混濁程度的增加,會嚴重影響視力。
對于病變尚位于角膜基質淺層者,目前主張通過準分子激光進行切削角膜淺層混濁,但是由于多數患者往往都伴有屈光不正(近視、遠視或散光),單純采用激光切削角膜病變組織,雖然可以消除角膜病變但患者術后視力提高不明顯,因此我們考慮準分子激光治療性聯合屈光性治療伴有屈光度的顆粒狀營養不良,目前我院此項技術已經開展多例,均獲得很好的療效。
例:男性,32歲。雙眼視力下降兩年余來診,查體見雙角膜中央區域密集灰白色顆粒狀混濁(圖1)。裸眼視力右眼0.5,左眼為0.3,矯正視力右眼1.0,左眼0.7。屈光度顯示:右眼-1.5/-0.5*75,左眼-2.5/-1.25*70。雙眼進行準分子激光治療性(PTK)聯合屈光性(PRK)治療,術后6月雙眼裸眼視力1.0,角膜透明(圖2)。
圖一:顆粒狀角膜營養不良,角膜中央灰白色顆粒狀渾濁
?
圖2:準分子激光術后角膜透明,裸眼視力1.0
?
?
?
?
????????????????????????????????????????????????????????山東省眼科醫院準分子激光治療中心


地址:山東省濟南市經四路372號

郵編:250021

電話:0531-81276111

咨詢電話:0531-81276000

公眾號

小程序

版權所有 2008-2022 山東省眼科醫院 信息部 魯ICP備14000770號 魯公網安備37010402000539號 濟醫廣審字[2022]第0627-152號
国产又粗又猛又爽又黄的视频