秋季,是收獲的季節,一年的辛勤勞作終于換來了大自然的饋贈。但在享受豐收果實的同時要時刻謹記保護好自己的眼睛。
植物性眼外傷,就是被諸如草葉、稻草、棉花桿、板栗等等植物傷及眼部,聽起來好似不嚴重,但是植物本身攜帶的病原體對眼部的創傷往往讓人掉以輕心,最后導致嚴重的后果。
掰玉米是這個季節農民伯伯最喜愛的勞動了,感覺收獲的都是粒粒黃金。但是在沒有任何眼部防護措施的情況下,眼睛很容易被玉米葉劃傷,傷后若沒有特別眼部不適,往往就揉揉眼睛繼續勞作了。

魏某,61歲男性,收割玉米時不小心右眼被玉米葉劃傷,當時并未在意,次日右眼出現了發紅、眼磨、畏光、流淚等癥狀,但是,麻痹大意的他總覺得自己身體從來都很好,這只是干活過度勞累導致的,于是自己隨便在村醫療所購買了眼藥水治療。這樣一拖就是20天,沒想到眼部的癥狀非但沒有改善而且越來越重。這時他才感到事情的嚴重性,但是為時已晚,他的右眼視力已經降低到了眼前光感(下圖)多家醫院表示束手無策,無力回天。經多方打聽,他得知山東省眼科醫院是全國知名的治療角膜病的醫院,于是在家人的陪同下來到的山東省眼科醫院就診。

像魏某罹患的這種眼病是角膜病科常見的眼病之一。通過刮取角膜潰爛組織進行顯微觀察、共焦顯微鏡檢查便基本可以對疾病做出相對可靠的診斷。不出所料,他被確診為“右眼真菌性角膜潰瘍”。鑒于病程時間長,潰瘍灶范圍大,浸潤深,視力低下,并且前房有大量積膿,一方面省眼的角膜病科醫生積極給予了強力抗真菌藥物局部點眼及全身應用抗真菌藥物聯合治療控制病情進一步加重,另一方面聯系角膜供體,準備術前檢查,積極行角膜移植手術。
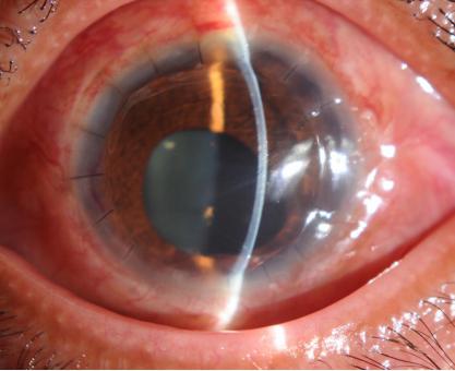
2天后,幸運的魏某等來了新鮮的角膜供體,我院高華副院長立即為他進行了“右眼穿透性角膜移植術”,手術臺上,高華副院長將化膿的糜爛角膜組織切除干凈,徹底清理了前房里殘存的膿苔,一切就緒后縫合移植上健康的角膜供體,術后一周,經過管床醫生合理的藥物治療,新生的角膜上皮終于愈合,魏某的右眼視力更是達到了0.25(下圖)。

山東省眼科醫院專家提示:千萬不可忽視小小玉米葉對眼睛的傷害,一旦發生最好及時到正規醫院檢查,明確病原學后,選擇適當的治療方式,不要自己隨便點眼藥。大自然存在大量的真菌,角膜一個小的傷口,就會把真菌帶進去,不起眼的外傷發展到角膜嚴重的潰瘍甚至穿孔,給患者帶來身體上和經濟上的負擔,如果魏某早點到專業的眼科醫院及時就診,用抗真菌的藥物,就不會發展到這樣嚴重的地步。在這里提醒廣大的農民朋友,為了減少、避免在農作時迷眼、劃傷等外傷引起的眼部感染,最好隨時佩戴護目鏡。若不慎眼部受了外傷,要引起重視,不要因為想省錢治病,小病拖成大病,最終導致眼球不保或者為了做手術花光了一整年的辛苦錢。

地址:山東省濟南市經四路372號
郵編:250021
電話:0531-81276111
咨詢電話:0531-81276000
公眾號
小程序